「パンディータ」というキャラクターレスラーは、FMWから連綿と続くパンダの覆面レスラーだ。
現在は、バリアフリープロレスHEROに所属し、FMWEに常時参戦する、大仁田の現付け人レスラーだ。
11月24日に山梨県甲斐市で開催された、「Get The Glory プロジェクト〜イジメヲ爆破セヨ〜電流爆破⭐︎ぶちI GOT IT」に、大仁田厚、パンディータが参戦した。

実はパンディータにとっては、復帰戦戦だった。
3週間ほど前からひどい頭痛と、時折もの忘れが出ていたというパンディータだったが、11月8日の試合後、大仁田の判断により医療機関を受診し、慢性硬膜下血腫と診断され、手術を受けた。
「ずっと風邪を引いているんだと思っていました。11月8日の記憶は曖昧です」とパンディータ。
FMWE関係者によると、「パンディータは、8日、とにかく様子がいつもと違いました。フラフラで声をかけても『大丈夫です』と繰り返すだけで目がトロンとしていました。大仁田さんが、半ば強制的に自分の車に乗せて、病院に連れて行きました。」
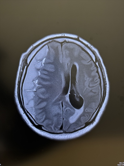
MRIの画像で、1/4に血が溜まり、脳を圧迫している状態だった。麻痺が出ており、予断を許さない命の危険もあった。

「早急な手術が必要とのことで、大仁田さんがまた車にパンディータを乗せ、総合病院に連れて行き、その日の夜、手術を受けることになりました」
術後順調に回復したパンディータは、抜糸を終え、この大会が復帰戦となった。
試合を終えたパンディータは、「動けてホッとしました。とにかく楽しくて。また試合ができて嬉しかったです。12月7日のFMWE年内最終戦は、本調子で試合ができそうです」と喜びをあらわにした。
大仁田は、
「周りに明らかにいつもと違う人がいたら、検査を勧めてください。パンディータも、麻痺が出始めていて危なかった。俺がかかった腹部大動脈瘤も、腹部エコー検査で見つかった。検査で命が助かることだってある。自分は大丈夫と過信せずに、予防医学ってやつだよ。」
と、いつになく神妙な面持ちで話した。
